Editors: Collins, Jannette; Stern, Eric J.
Title: Chest Radiology: The Essentials, 2nd Edition
> Table of Contents > Chapter 5 - Monitoring and Support Devices - "Tubes and Lines"
Chapter 5
Monitoring and Support Devices - "Tubes and Lines"
One of the most useful and cost-effective functions of chest radiography is the evaluation of complications related to the placement of monitoring and support tubes and lines. This is especially true for chest radiographs of patients in intensive care units, who usually have several support devices in place at one time. The placement of tubes and lines is often the first thing a radiologist interprets on a chest radiograph from the intensive care unit. Because this is such an important, common, and useful function of the chest radiograph, frequently resulting in a change in patient management (thus often requiring a call to the physician who ordered the radiograph), it is important for the interpreting radiologist to understand the function, normal radiographic appearance, and complications of the more commonly placed tubes and lines. The specific appearances of these devices vary by manufacturer and local practice, so it is important to become familiar with the specific characteristics of the devices used in a particular work setting.
Central Venous Catheters ("Lines")
Central venous catheters, often referred to as CVP (central venous pressure) lines, are used to monitor CVP and administer fluids intravenously. A centrally placed catheter ensures more consistent venous flow than does a route through the peripheral veins, which may vasoconstrict, particularly during periods of cardiovascular collapse. The internal jugular, subclavian, and femoral veins constitute the three most common access sites for CVP catheter placement.
The origins of the brachiocephalic veins (BCV) are demarcated by the sternoclavicular joint. Catheters within the left BCV show an anterior curve on the lateral chest radiograph because the left BCV crosses anteriorly to join the right BCV (Fig. 5-1). The subclavian veins drain the upper extremities and are a continuation of the axillary veins at a point demarcated by the lateral aspect of the first rib. The internal and external jugular and vertebral veins also contribute to the origin of each BCV. The left superior intercostal vein drains the second through fourth posterior intercostal veins and arches anteriorly to join the left BCV. It courses along the aortic arch, occasionally forming a rounded projection on the frontal chest radiograph referred to as the "aortic nipple."
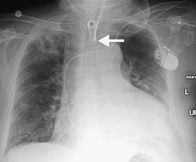
The preferred position of a CVP line tip is central to the venous valves, at the origin of the superior vena cava (SVC). The SVC is formed by the junction of the right and left BCVs. This junction lies to the right of midline at the level of the first intercostal space. The SVC is the preferred location for measuring CVP and avoiding catheter complications. The SVC is joined by the azygos vein posteriorly, just prior to entering the pericardium. Posterior orientation of the catheter tip suggests that it enters the azygos vein (Fig. 5-2).
Peripherally inserted central catheters (PICCs) are small-caliber tubes that can be left in place for long durations. The preferred position of these catheters is reported to be the SVC (1,2); however, at some institutions, these catheters are placed in the radiology department, under direct fluoroscopic guidance, into the right atrium. There is little or no risk of atrial rupture or dysrhythmia with this placement, and there is a decreased incidence of peritip thrombus, which occurs with SVC placement in up to 90% of patients (3).
A left-sided SVC, a normal anatomic variant, is found in 0.3% of normal individuals (Fig. 5-3). Eighty percent of such patients also have a right-sided SVC and 60% have a left BCV connecting the right and left SVCs (4). When a left SVC is present, both the right SVC and the left BCV are usually diminutive. The left SVC most commonly drains into the right atrium via a dilated coronary sinus.
Many potential complications of CVP catheter placement can be recognized on chest radiography (Table 5-1). As many as one third of CVP catheters are placed incorrectly at the time of initial insertion (5) (Figs. 5-4 and 5-5). The most common
P.64

aberrant locations include the internal jugular vein, the right atrium or ventricle, the opposite subclavian vein, the corresponding artery, the inferior vena cava, and various extrathoracic locations. Placement within the right atrium can lead to cardiac perforation by the catheter (although this is less of a risk with some of the commonly used, peripherally placed, flexible, small-bore PICC lines) (6). Positioning in the area of the tricuspid valve can cause dysrhythmias. Aberrant positioning will interfere with accurate measurement of central venous pressure and can lead to infusion of potentially toxic substances directly into the liver or heart rather than into the central venous system, where rapid dilution can take place. Catheter tips that are directed against the lateral wall of the SVC can produce excess focal pressure on the venous wall, leading (although rarely) to venous perforation (7).
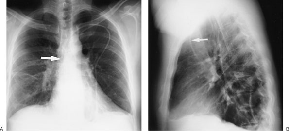
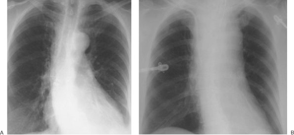
FIGURE 5-1. Left subclavian vein, central venous catheter placement. A: Posteroanterior (PA) chest radiograph shows the catheter entering the left subclavian vein under the left clavicle, crossing the midline as it courses to the right and descending, with the tip positioned over the expected area of the superior vena cava (SVC) (arrow). B: Lateral chest radiograph shows the catheter curving anteriorly (arrow), where it crosses from the left brachiocephalic vein to join the right brachiocephalic vein. This anterior curve makes it possible to determine on a lateral radiograph that a catheter has been placed from the left side.
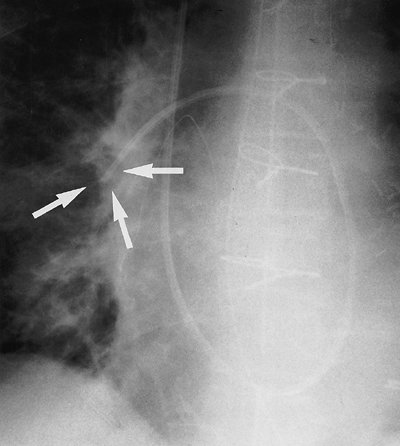
FIGURE 5-2. Azygos vein placement of central venous catheter. A: PA chest radiograph shows that the catheter tip is positioned over the expected area of the SVC. The tip is seen on end (arrow), however, which is a clue to azygos vein placement. The SVC is joined by the azygos vein posteriorly. B: Lateral chest radiograph shows the catheter coursing posteriorly, along the expected course of the azygos vein (arrows). Note how the more proximal portion of the catheter curves anteriorly (arrowhead), confirming placement from the left.
Pneumothorax occurs with 6% of CVP catheter placements (8). In evaluating for pneumothorax, the entire pleural surface should be evaluated bilaterally, since a failed attempt at placement of a CVP catheter on one side may have gone undetected clinically before successful placement on the opposite side. Every chest radiograph should be evaluated for pneumothorax when a CVP catheter is present. This is because the initial radiograph, especially if supine, may not demonstrate the pneumothorax, and pneumothorax can persist several days after
P.65

line placement (9). Skin folds, commonly seen on supine chest radiographs, may produce a thin radiopaque line that mimics a pneumothorax. Repeating the exam after repositioning the patient usually solves the dilemma.
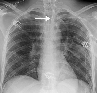
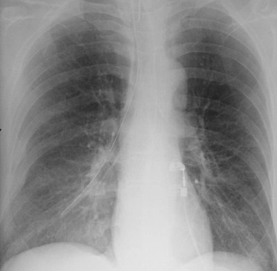
FIGURE 5-3. Left superior vena cava placement of central venous catheter. PA chest radiograph shows that, instead of crossing the midline to enter the SVC on the right, the catheter courses inferiorly to the left of the aortic arch, which is typical of placement within a persistent left SVC. This placement should be confirmed on a lateral chest radiograph to exclude aberrant positioning of the catheter within another venous or arterial structure.
Also occurring with CVP catheters placed via the subclavian vein is the complication of ectopic infusion of fluid into the mediastinum or pleural space (10) (Fig. 5-6). The rapid accumulation of fluid opacifying the mediastinum or pleural space after insertion of a subclavian catheter should suggest the diagnosis of ectopic infusion, which can be confirmed by injection of contrast through the catheter or thoracentesis if the fluid is accumulating in the pleural space.
TABLE 5-1 COMPLICATIONS RESULTING FROM CENTRAL VENOUS CATHETER PLACEMENT
Malposition
  Opposite subclavian vein
  Internal jugular vein with tip directed cephalad
  Corresponding artery
  Right atrium
  Right ventricle
  Extrathoracic location
Pneumothorax - usually immediate, may be delayed
Ectopic infusion of fluid into mediastinum or pleural space
Catheter breakage and embolization
Inadvertent puncture of subclavian artery
Air embolization
"Pinch-off" syndrome between the clavicle and first rib
Venous perforation
Thrombosis
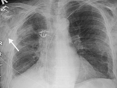
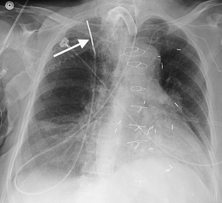
FIGURE 5-4. Malpositioned left peripherally inserted central venous catheter (PICC). AP chest radiograph shows a PICC (arrows) placed from the left side, crossing the midline, with the tip directed cephalad over the expected right jugular vein.
Laceration of the catheter by the insertion needle, catheter fracture at a point of stress, or detachment of the catheter from its hub can result in catheter embolization. The catheter fragment can lodge in the SVC, inferior vena cava, right side of the heart, or pulmonary artery and can cause thrombosis, infection, or perforation (11).
FIGURE 5-5. Intercostal vein placement of central venous catheter. Anteroposterior (AP) recumbent chest radiograph shows the left jugular central venous catheter crossing to the left and coursing horizontally, inferior to the left fifth posterior rib, typical of intercostal vein placement (straight arrows). The intercostal vessels and nerves are inferior to the rib; when performing thoracentesis, the needle should be inserted along the top of the rib to avoid puncturing these vessels. Note collapse of the right upper lobe, with superior displacement of the minor fissure (curved arrows).
P.66

FIGURE 5-6. Malpositioned catheter resulting in ectopic fluid administration. A: PA chest radiograph obtained prior to left catheter placement. The right subclavian central venous catheter tip is positioned over the expected junction of the SVC and right atrium (arrow). B: PA chest radiograph after placement of a new left subclavian central venous catheter shows acute widening of the mediastinum from extravascular placement of the catheter and ectopic infusion of fluid into the mediastinum. The extravascular location of the catheter is not obvious on the radiograph, but the change in mediastinal width should prompt further investigation to confirm catheter position.
Inadvertent puncture of the subclavian artery during subclavian vein CVP catheter placement can result in localized bleeding, which may be self-limiting but is rarely severe enough to require surgical intervention (Figs. 5-7 and 5-8). Air embolization can occur during venipuncture or intravenous contrast injection. When this occurs, air may be visible in the pulmonary artery on a chest radiograph or computed tomographic (CT) scan, signifying this usually asymptomatic but potentially fatal complication. Clot frequently forms around the catheter tip with prolonged catheter placement, resulting in malfunctioning of the catheter. If thrombus progresses, venous occlusion and even pulmonary embolus can result. "Pinch-off" syndrome refers to compression of a CVP catheter between the clavicle and the first rib. This compression can lead to catheter fracture or fragmentation (12).
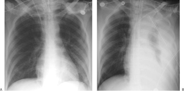
FIGURE 5-7. Mediastinal hematoma from subclavian artery perforation. A: PA chest radiograph prior to catheter placement shows a normal upper mediastinal width. B: PA chest radiograph after placement of right subclavian central venous catheter shows acute widening of the mediastinum.
Pulmonary Artery Catheters
Pulmonary artery catheters consist of a central channel to monitor left atrial pressure and a second channel connected to
P.67

an inflatable balloon at the catheter tip (13). A third channel measures CVP and cardiac output. The catheter is usually inserted from a subclavian vein approach, but jugular and femoral vein approaches are also used through a sheath called a cordis. The sheath allows easy advancement and withdrawal of the catheter and serves as short-term venous access after the pulmonary artery catheter has been removed. The purpose of the pulmonary artery catheter is to measure pulmonary capillary wedge pressure, which reflects left atrial pressure and left ventricular end-diastolic volume. Measurements of pulmonary capillary wedge pressure help to differentiate cardiogenic from noncardiogenic pulmonary edema. The ideal catheter tip position is within the right or left pulmonary artery or within the proximal interlobar artery. Inflation of the balloon causes the catheter to float into a peripheral pulmonary artery branch, in a wedged position, and deflation of the balloon results in the catheter resuming its more central position.
FIGURE 5-8. Hemothorax as a complication of central venous catheter placement. A: PA chest radiograph shows a normally positioned right jugular central venous catheter. B: PA chest radiograph after removal of the right catheter and placement of left subclavian central venous catheter shows a new large left pleural effusion. A chest tube was placed, which drained bright red blood.
An important complication associated with the pulmonary artery catheter is pulmonary infarction distal to the catheter tip (14). This occurs when the catheter tip is placed too distally within the pulmonary artery. As the diameter of the catheter approaches the diameter of the pulmonary artery in which the catheter resides, occlusion of the artery by the catheter occurs. Clot can also form around the tip of the catheter and occlude the pulmonary artery, occasionally leading to pulmonary infarction (seen as patchy airspace opacification, often wedge shaped and in a subpleural location).
The pulmonary artery catheter balloon appears radiographically as a 1-cm rounded radiolucency at the tip of the catheter (Fig. 5-9). The balloon should be inflated for only a very short period of time, during measurement of pressure, and it should not be inflated while chest radiography is performed. If the balloon is left inflated, it can obstruct a major pulmonary artery and lead to pulmonary infarction.
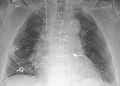
Coiling or redundancy of pulmonary artery catheter tubing in the right side of the heart can irritate the myocardial conduction bundle and result in dysrhythmias (Fig. 5-10). Other potential complications of pulmonary artery catheter placement
P.68

include pulmonary artery rupture (leading to pulmonary hemorrhage), pulmonary artery pseudoaneurysm (Figs. 5-11 and 5-12), fistulae between the pulmonary artery and the bronchial tree, intracardiac knotting of the catheter, and balloon rupture (Table 5-2). Complications that can occur with CVP catheter placement can also occur with pulmonary artery catheter placement (Fig. 5-13).
FIGURE 5-9. Inflated pulmonary artery catheter balloon. AP recumbent intraoperative chest radiograph, taken during measurement of pulmonary capillary wedge pressure, shows the inflated radiolucent balloon at the tip of the catheter (arrows). Normally, the balloon should not be inflated during the time of radiographic exposure. The balloon should be inflated for only a short period while measurements are obtained and then immediately deflated; when left inflated for longer periods, blood flow distal to the balloon is interrupted, resulting in pulmonary infarction.
FIGURE 5-10. Looping of pulmonary artery catheter tubing. AP chest radiograph shows looping of the pulmonary artery catheter tubing (arrow) over the expected right atrium. This redundancy of catheter tubing can lead to dysrhythmias.
Intra-Aortic Balloon Pump
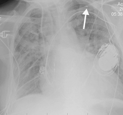
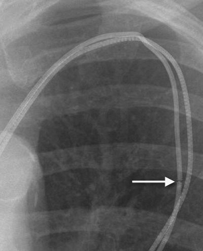
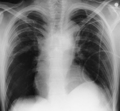
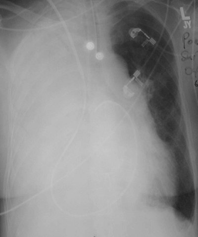
The intra-aortic balloon pump (IABP) (also called an intra-aortic counterpulsation balloon) is used in some centers to improve cardiac function in the setting of cardiogenic shock. The device consists of a long inflatable balloon (26 to 28 cm in length) that surrounds the distal end of a centrally placed catheter. The catheter is placed via a femoral artery retrograde to the thoracic aorta. The balloon is inflated during diastole (increasing diastolic pressure to the coronary arteries and increasing oxygen delivery to the myocardium) and is forcibly deflated during systole (decreasing left ventricular afterload and oxygen requirements). A commonly used IABP is radiolucent, except for a radiopaque marker that defines its tip. The balloon can be seen as a long tubular radiolucency (Fig. 5-14), following the expected course of the descending thoracic aorta to the left of the thoracic spine, if the radiograph is exposed during diastole when the balloon is inflated. The ideal location of the tip is just distal to the left subclavian artery (projecting at the level of the aortic arch on a frontal chest radiograph), allowing maximal augmentation of diastolic pressures in the proximal aorta. Even with appropriate positioning, the mesenteric and renal artery ostia are crossed by the long balloon (15). If the IABP is advanced too far, it may obstruct the left subclavian artery (Fig. 5-15) or cause cerebral embolus. If the IABP is not advanced far enough, less effective counterpulsation can result (Fig. 5-16).
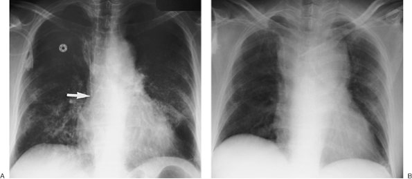
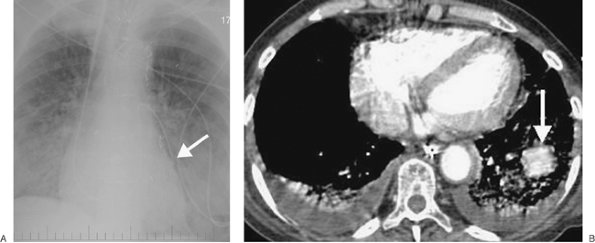
FIGURE 5-11. Pulmonary artery pseudoaneurysm as a complication of pulmonary artery catheter placement. A: AP recumbent chest radiograph in a 66-year-old woman with a history of chronic obstructive pulmonary disease and prior lung volume reduction surgery. The film was taken shortly after right heart catheterization, during which time a pulmonary artery catheter was placed into the right pulmonary artery to measure pulmonary capillary wedge pressure. The radiograph shows diffuse airspace disease in the right lung, consistent with acute pulmonary hemorrhage, which was new compared with a precatheterization radiograph. B: CT scan obtained after administration of intravenous contrast material, performed the same day as the chest radiograph in (A), shows an enhancing peripheral pulmonary artery pseudoaneurysm (arrows), with surrounding pulmonary hemorrhage (arrowheads). The pseudoaneurysm was embolized with coils by interventional radiologists, and the bleeding stopped.
Aortic dissection can occur during IABP insertion, which may result in death (16). Other potential complications include reduction of platelets, red blood cell destruction, peripheral emboli, balloon rupture with gas embolus, renal failure, and vascular insufficiency of the catheterized limb (17) (Table 5-3).
Ventricular Assist Device
Ventricular assist devices (VADs) are surgically implanted mechanical devices used in some medical centers to perform the work of the right (RVAD), left (LVAD), or bilateral (BVAD) ventricles in patients with intractable congestive heart failure. VADs can be implanted to support the failing heart and serve as a “bridge to transplant.” In some patients with reversible
P.69

forms of cardiac failure, a VAD can be implanted with the hope that it will allow the heart to recover; the assist device can be removed later. This indication is known as "bridge to recovery" (18). In selected patients who are not good candidates for cardiac transplantation because of other medical complications, VADs can be implanted as a means of supporting circulation over a period of years. This indication is known as "destination therapy." The new generation of pumps is designed for chronic, out-of-hospital use so that most patients can return home after the VAD is implanted. Reported complications from VAD placement, recognized on chest radiographs and CT scans, include pneumothorax, hemothorax, infection, thromboembolism, bowel obstruction, and mechanical failure (19). On chest radiography, the TCI Heartmate LVAD pump (Thermocardiosystems Inc., Woburn, MA) is identified in the left upper quadrant of the abdomen. The inflow cannula of the pump inserts into the left ventricular apex, directed at the mitral valve, drawing blood from the heart into the pump, and the polymer graft outflow cannula, usually 12 to 15 cm in length, carries blood from the pump to the ascending aorta (Fig. 5-17). Much of the outflow cannula is radiolucent. The inflow and outflow conduits contain porcine bioprosthetic valves, which are located outside the pump. A drive line, which exits through a fascial tunnel in the left lower quadrant of the abdomen, connects the device to an external portable console, which provides either pneumatic or electric power to the device.
FIGURE 5-12. Pulmonary artery pseudoaneurysm as a complication of pulmonary artery catheter placement. A: AP chest radiograph shows pulmonary edema and the tip of a pulmonary artery catheter projected over an expected left lower lobe segmental pulmonary artery branch (arrow). B: The distal placement of the catheter tip resulted in perforation of a subsegmental pulmonary artery and development of a pulmonary artery pseudoaneurysm, shown as an enhancing mass in the left lower lobe on CT (arrow).
TABLE 5-2 COMPLICATIONS RELATED TO PULMONARY ARTERY CATHETER PLACEMENT
Complications associated with central venous catheter placement (see Table 5-1)
Pulmonary infarction
  Distal placement of catheter tip
  Failure to deflate catheter balloon
Dysrhythmias
  Catheter tip in right atrium or right ventricle
Excessive coiling or redundancy of catheter tubing in right heart
Pulmonary artery pseudoaneurysm
Pulmonary artery rupture and pulmonary hemorrhage
Pulmonary artery to bronchial tree fistula
Intracardiac knotting of catheter
Balloon rupture
FIGURE 5-13. Hemothorax as a complication of pulmonary artery catheter placement. AP chest radiograph shows appropriate placement of a right jugular pulmonary artery catheter. However, there is complete opacification of the right hemithorax, representing acute and massive hemothorax.
FIGURE 5-14. Inflated balloon of intra-aortic balloon pump. AP chest radiograph shows the radiopaque tip of an intra-aortic balloon pump (dashed arrow) and its radiolucent air-filled balloon (solid arrows). The balloon is inflated during diastole and deflated during systole. The tip is slightly low, with the desired location at the level of the aortic arch.
P.70

Transvenous Pacemakers
Numerous types of single- and dual-lead pacemakers and combination pacer–defibrillators are available. They are used to treat a variety of dysrhythmias. Accurate interpretation of their appearance on chest radiography requires knowledge of the specific type of pacemaker placed. The three major approaches to insertion of a pacemaker electrode into the heart include epicardial, subxiphoid, and transvenous implantations; transvenous is the most common. With single-lead pacers, the wire is placed into the right ventricle by way of the cephalic, subclavian, or jugular vein. When the lead is wedged into the myocardial trabeculae near the cardiac apex, the lead will be stable and have maximal contact with the endocardial surface. With dual-lead pacers, one lead is generally placed into the right atrium and the other into the right ventricle. It is important to know where the desired placement of leads is for each patient, because placement within the coronary sinus may be accidental or purposeful. After the electrodes are positioned, the generator is placed in a pouch in the subcutaneous tissues of the chest wall or beneath the pectoralis muscle. Biventricular pacemakers are used to treat congestive heart failure. Leads are placed in the right atrium and right ventricle, and a third lead is placed in the coronary sinus for pacing the left ventricle (Fig. 5-18).
FIGURE 5-15. Malpositioned intra-aortic balloon pump. AP chest radiograph shows the radiopaque tip of an intra-aortic balloon pump projected over the expected left subclavian artery (arrow). This positioning can result in cerebral embolism and partial occlusion of blood flow to the left upper extremity.
FIGURE 5-16. Malpositioned intra-aortic balloon pump. AP chest radiograph shows that the tip of the intra-aortic balloon pump (arrow) is below the desired level of the aortic arch.
Failure of the pacemaker to elicit a ventricular response may be caused by (a) exit block, (b) lead fracture, (c) electrode dislodgment, (d) electrode malposition, (e) myocardial perforation, (f) thrombosis, (g) infection, or (h) battery failure (20). Of these, malpositioning, fracture, and perforation may be recognized on chest radiographs. The leads can be malpositioned within the coronary sinus, and in this case the catheter often appears to be ideally positioned on the frontal radiograph but
P.71

is directed posteriorly rather than anteriorly on the lateral projection. Approximately 2.7% of electrodes will fracture (21), generally near the pulse generator, at sharp bends in the lead wires, at the point of venous entry, or where the lead is embedded in the cardiac muscle (Figs. 5-19, 5-20, 5-21). If the insulating sheath holds the ends of a fractured lead in close proximity, the fracture may not be readily visible on a radiograph. Tight anchoring ligatures at the venous entry site can produce lucency of the lead, giving the false appearance of a fracture.
TABLE 5-3 COMPLICATIONS RELATED TO INTRA-AORTIC BALLOON PUMP PLACEMENT
Balloon advanced too far
  Obstruction of the left subclavian artery
  Cerebral embolus
Balloon not advanced far enough
  Inadequate counterpulsation during diastole
Aortic dissection
Reduction of platelets
Red blood cell destruction
Emboli
Balloon rupture with gas embolus
Renal failure (balloon occlusion of renal artery)
Vascular insufficiency of catheterized limb
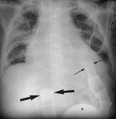
FIGURE 5-17. Left ventricular assist device. AP recumbent chest radiograph shows the inflow cannula (small arrows) within the left ventricle and directed toward the mitral valve, the pump (P), and the radiopaque portion of the outflow cannula (large arrows). The outflow cannula carries blood from the pump to the ascending aorta (the distal portion of the outflow cannula is nonradiopaque). The cardiac silhouette is markedly enlarged in this patient with end-stage heart disease.
FIGURE 5-18. Biventricular pacer. PA (A) and lateral (B) chest radiographs show normal positioning of lead tips in the right atrium (solid white arrow), right ventricle (dashed white arrow), and coronary sinus (solid black arrow).
FIGURE 5-19. Fractured insulation covering pacer lead. PA chest radiograph shows a short segment of pacer lead that is less opaque (arrow). Note that the lead is not completely fractured. Even so, disruption of the insulation can result in pacer malfunction.
Electrode dislodgment occurs in 3% to 14% of patients (22), generally during the first weeks following insertion. Late displacement is uncommon because of the fibrin sheath that develops between the electrode and the endocardium. Twiddler's syndrome is a rare complication seen in patients with implanted pacemakers or defibrillators; it is a result of the patient either consciously or unconsciously twisting and rotating the implanted device in its pocket, resulting in torsion, dislodgment, and often fracture of the implanted lead (23,24). The diagnosis is confirmed by a chest radiograph, which will reveal a twisted, entangled, and dislodged pacing lead. A small amount of catheter play should be present during systole, but
P.72

none should be present during diastole. If the catheter is short, dislodgment may occur, and the catheter may enter the right atrium, pulmonary artery, SVC, or coronary sinus. If the lead is too long, a bend in the wire may occur, causing lead fracture (Fig. 5-22). A redundant lead may also perforate the myocardium; this complication generally occurs at the time of or within a few days after insertion. The frontal or lateral radiograph will show the catheter tip outside or within 3 mm of the edge of the cardiac silhouette (Fig. 5-23). Perforation can lead to cardiac tamponade or postcardiotomy syndrome. Inflammation and infection can occur within the vein or the generator pocket; the latter occurs in up to 5% of patients (20). Major vein thrombosis and pulmonary embolism are additional complications of pacemaker insertion.
FIGURE 5-20. Fractured pacer lead. PA chest radiograph shows complete separation of lead fragments at the site of pacer lead fracture (arrow).
There are several models of implantable cardioverter-defibrillators, which are used for treatment of life-threatening ventricular tachyarrhythmia, generally using a combination of two transvenously placed electrodes and one subcutaneous electrode. A thoracotomy may or may not be required for placement, although most are now placed transvenously. These devices can be combined with a preexisting pacemaker. It is important that the radiologist be familiar with the normal appearance, variations, and complications of these devices, such
P.73

as deformity of the subcutaneous patch electrode, lead fracture, and electrode malposition and migration (25).
FIGURE 5-21. Fractured pacer lead. PA chest radiograph shows a fractured lead (arrow) and minimal distraction of the fracture fragments.
FIGURE 5-22. Looped pacer lead. PA (A) and lateral (B) chest radiographs show looping of the pacer lead over the area of the expected tricuspid valve (arrow). This positioning can result in dysrhythmia, lead fracture, or myocardial perforation.
FIGURE 5-23. Displacement of pacer lead. A: PA chest radiograph shows that the tip of the pacer lead (arrow) is beyond the expected right ventricular wall. B: CT shows the lead outside of the myocardium (arrow). A more inferior image (not shown) showed that the lead tip was within the anterior chest wall.
Endotracheal and Tracheostomy Tubes
Patients require mechanical ventilation for any of three reasons: (i) airway obstruction, (ii) disorders of gas exchange, and (iii) failure of the airway's protective mechanisms. Intubation can be performed with an oral or a nasal endotracheal tube (ETT), cricothyroidotomy, or tracheotomy. Most ETTs are opaque or have an opaque strip demarcating the tip of the tube. When the head and neck of an adult are in the neutral position, the ETT tip should ideally be in the midtrachea, approximately 4 to 7 cm from the carina. On portable radiographs, the carina projects over T5, T6, or T7 in 95% of patients, and therefore if the carina is not visible, it should be assumed to be at the level of the T4-5 interspace (26). Flexion and extension of the neck can result in 2 cm of descent or ascent of the ETT, respectively. In other words, the “hose goes where the nose goes.” When the head and neck are flexed, the ETT should ideally be 2 to 4 cm from the carina; with extension, it should be 7 to 9 cm from the carina. Therefore, it is very important to check or know the position of the head/neck before recommending tube repositioning. The inflated ETT cuff (balloon) should fill but not bulge the lateral tracheal walls (Fig. 5-24).
FIGURE 5-24. Overdistended endotracheal tube cuff. AP chest radiograph, coned to the neck and upper chest, shows that the tip of the ETT (dashed arrow) is above the thoracic inlet. The ETT balloon is overdistended (solid arrows). If left in this position long enough, the cuff could cause permanent damage to the vocal cords.
The most frequent complications of ETT placement include difficulty in sealing the airway, self-extubation, right main bronchus intubation, esophageal intubation, and aspiration of gastric contents (27) (Table 5-4). With right main bronchial intubation, the left lung usually collapses (Figs. 5-25 and 5-26). If the ETT is placed in the pharynx or is dislodged from the trachea, mechanical ventilation is disrupted, the stomach may distend with air, and gastric contents may be aspirated. An ETT tip placed just beyond the vocal cords may cause vocal cord injury when the cuff is inflated. Inadvertent placement of the ETT into the esophagus can be life threatening. When this occurs, the ETT may be visualized lateral to the tracheal air shadow on chest radiography, the lungs appear hypoventilated, and the stomach appears markedly distended with air. A rare complication of ETT placement is tracheal laceration; in this case, the chest radiograph may show pneumothorax, pneumomediastinum, or both. The ETT cuff may appear overdistended, as the cuff herniates through the tracheal tear. Other causes of an overdistended cuff include inadvertent cuff hyperinflation, intraesophageal cuff location, chronic intubation,
P.74

and tracheomegaly. ETT placement increases the incidence of sinusitis owing to mucosal edema and obstruction of sinus drainage.
TABLE 5-4 COMPLICATIONS RELATED TO ENDOTRACHEAL OR TRACHEOSTOMY TUBE PLACEMENT
Malposition
Right mainstem endotracheal tube intubation leading to hypoventilation or collapse of left lung
Dislodgment from trachea
Placement just beyond vocal cords
Placement within esophagus
Tracheal or laryngeal laceration
Tracheostenosis
Tracheomalacia
FIGURE 5-25. Endotracheal tube within right main bronchus. The left lung is radiopaque, and there is a shift of the mediastinum to the left because of malpositioning of the ETT within the right main bronchus (arrow); atelectasis of the left lung has resulted.
Tracheostomy is usually performed 1 to 3 weeks after ETT placement in patients who require long-term mechanical ventilation or tracheal suctioning. The tracheostomy tube is inserted through a stoma at the level of the third tracheal cartilage, and it should be positioned with the tip several centimeters above the carina. Unlike the ETT, motion of the head and neck has little influence on the position of the tube in relation to the carina. The cuff should not extend to the tracheal wall. Following tracheostomy, subcutaneous air in the neck and upper mediastinum is common and is usually an unimportant consequence of the surgery (28). Massive air collections are caused most often by paratracheal insertion of the tube or perforation of the trachea. Pneumothorax is usually caused by inadvertent entry into the apical pleural space during surgery but may also be the result of tracheal perforation.
FIGURE 5-26. Endotracheal tube within bronchus intermedius. AP recumbent chest radiograph of a 29-year-old woman after a motor vehicle accident. The patient was intubated emergently outside the hospital. Malpositioning of the ETT within the bronchus intermedius (arrow) resulted in aeration of the right middle and lower lobes, with associated collapse of the right upper lobe and the entire left lung.
The incidence of serious tracheal injuries has decreased since the introduction of high-volume, low-pressure cuffs. Mucosal irritation from the tube and bacterial colonization lead to varying degrees of mucosal injury in every patient. In a small percentage of patients, the injury progresses to ulceration, which may lead to cartilage necrosis. After extubation, mucosal edema, erythema, and superficial ulcerations usually heal spontaneously. Deep ulcerations may result in permanent laryngeal scarring, tracheal stenosis, and tracheomalacia. Symptoms caused by permanent airway compromise usually appear several weeks to many months after extubation. Following extubation, all chest radiographs should be studied for the possibility of laryngeal or tracheal narrowing.
Pulmonary injury and air leak caused by mechanical ventilation occur in 5% to 50% of patients, with a higher incidence seen in patients with acute respiratory distress syndrome (29). Barotrauma develops when the alveoli are hyperdistended and rupture. The air dissects medially along the bronchovascular connective tissue to the mediastinum. Air can decompress cephalad into the visceral compartment of the neck or follow the esophagus caudad into the retroperitoneum. Retroperitoneal gas may continue along the anterior and posterior perirenal space into the properitoneal fat, and it can track along the anterior abdominal wall and chest wall and into the scrotum in men. Air may rupture into the peritoneum. If these routes do not adequately decompress the mediastinum, air ruptures the mediastinal parietal pleura and enters the pleural space.
Chest Tubes
Pleural drainage tubes are used for evacuation of pleural fluid and air (hydrothorax and pneumothorax, respectively). Several types and sizes of tubes are used, and all should be evaluated by chest radiography for proper placement of the tip and side holes. A side hole is marked by an interruption of the radiopaque identification line; it should be medial to the inner margin of the ribs (Fig. 5-27). Placement of the tube tip in the
P.75

subcutaneous tissues, a fissure, or the lung parenchyma can be diagnosed with chest radiography or CT scanning. CT scans can also be used to identify loculated pleural collections and direct the placement of drainage tubes. Location within a fissure can be suspected when the tube reproduces the anatomy of the minor or major fissure, or when the tube takes more of a horizontal rather than a vertical course as seen on a frontal chest radiograph. Tubes within fissures may become occluded by the surrounding lung. Tubes can be inadvertently advanced into the mediastinum or through the lung parenchyma, liver, spleen, or diaphragm, resulting in bronchopleural fistula, hemorrhage, and infection (20,30). After removal of a thoracostomy tube, a residual pleural or parenchymal line from the tube track is often identified on the chest radiograph (Fig. 5-28); this should not be mistaken for the visceral pleural edge of a pneumothorax. If a large amount of pleural fluid is removed at one time (e.g., >1.5 L), rapid lung re-expansion can, rarely, result in so-called "re-expansion" pulmonary edema.
FIGURE 5-27. Malpositioned chest tube. AP chest radiograph shows that the side hole of the right chest tube (arrow) is outside of the pleural space. Note bilateral subcutaneous emphysema, seen as mottled lucencies within the soft tissues of the chest wall.
FIGURE 5-28. Chest tube track mimicking pneumothorax. A: PA chest radiograph, coned to the left upper hemithorax, shows a thin curvilinear opacity paralleling the chest wall (arrows). B: AP chest radiograph obtained 1 day earlier shows a chest tube following the course of the opacity seen in (A).
FIGURE 5-29. Malpositioned nasogastric tube. AP chest radiograph shows that the tip of the nasogastric tube (arrow) is well above the gastroesophageal junction. Note the distinctive morphology of the tip, which assists in recognizing its placement.
Esophageal/Gastric Tubes
Standard nasogastric tubes are used for suctioning gastric contents as well as for tube feeding. These tubes should be placed such that the tip is within the stomach, with the side port beyond the gastroesophageal junction. The most frequent misplacements are (a) incomplete insertion and (b) tube coiling within the esophagus (Figs. 5-29, 5-30, 5-31) (31). Small-bore
P.76

feeding tubes, ideally placed within the distal stomach or proximal small bowel, may be inadvertently placed into the lungs (Figs. 5-32, 5-33, 5-34), into the pleura (Fig. 5-35), or even through the diaphragm. Administration of tube feedings into the tracheobronchial tree may result in fatal pneumonia (32,33,34). Esophageal perforation can be caused by feeding tube placement. Radiographic findings secondary to the rare event of iatrogenic esophageal perforation include pleural effusion, pneumomediastinum, extraesophageal location of the tube, mediastinal widening, and mediastinal air–fluid levels.
FIGURE 5-30. Looped nasogastric tube. AP chest radiograph shows the nasogastric tube (arrows) looped over the expected location of the esophagus.
FIGURE 5-31. Malpositioned feeding tube. AP chest radiograph shows that the radiopaque tip of the feeding tube (arrow) is well above the gastroesophageal junction. The distinctive morphology of the tip aids in recognizing its placement.
FIGURE 5-32. Nasogastric tube placement in the lung. AP chest radiograph shows the course of the nasogastric tube following the expected course of the right main bronchus and out into the lung.
FIGURE 5-33. Malpositioned feeding tube in the lung. AP chest radiograph shows a feeding tube outside the expected course of the esophagus, with the tip projected over the right lung apex (arrow).
Several different types of esophageal measurement probes may be placed in the esophagus to measure intrathoracic pressure, temperature, and pH. The tips of pressure and temperature probes are usually placed in the distal esophagus. pH probes are usually positioned with the tip 5 cm above the lower esophageal sphincter (35).
FIGURE 5-34. Malpositioned feeding tube in the lung. AP chest radiograph shows a feeding tube projected over the right lung base. If not recognized before feeding the patient, such a placement can result in chemical pneumonitis.
P.77

FIGURE 5-35. Malpositioned feeding tube. A: AP chest radiograph shows the feeding tube outside the expected course of the esophagus. B: After removal of the tube, the patient developed a large right pneumothorax as a result of the tube having penetrated the pleural space.
References
1. Hadaway LC. An overview of vascular access devices inserted via the antecubital area. J Intraven Nurs. 1990;13:297–305.
2. James L, Bledsoe L, Hadaway L. A retrospective look at tip location and complications of peripherally inserted central catheter lines. J Intraven Nurs. 1993;16:104–109.
3. Ahmed N, Payne RF. Thrombosis after central venous cannulation. Med J Aust. 1976;1:217–220.
4. Cha EM, Khoury GH. Persistent left superior vena cava. Radiology. 1972;103:375–381.
5. Langston CS. The aberrant central venous catheter and its complications. Radiology. 1971;100:55–59.
6. Huyghens L, Sennesael J, Verbeelen D, et al. Cardiothoracic complications of centrally inserted catheters. Acute Care. 1985;11:53–56.
7. Tocino IM, Watanabe A. Impending catheter perforation of superior vena cava: radiographic recognition. Am J Roentgenol. 1986;146:487–490.
8. Gibson RN, Hennessy OF, Collier N, et al. Major complications of central venous catheterization: a report of five cases and a brief review of the literature. Clin Radiol. 1985;36:205.
9. Sivak SL. Late appearance of pneumothorax after subclavian venipuncture. Am J Med. 1986;80:323.
10. Aulenbacher CE. Hydrothorax from subclavian vein catheterization. JAMA. 1970;214:372.
11. Blair E, Hunziker R, Flanagan ME. Catheter embolism. Surgery. 1970; 67:457.
12. Hinke DH, Zandt-Stastny DA, Goodman LR, et al. Pinch-off syndrome: a complication of implantable subclavian venous access devices. Radiology. 1990;177:353–356.
13. Swan HJC, Ganz W. Use of a balloon flotation catheter in critically ill patients. Surg Clin North Am. 1975;55:501.
14. Sise MJ, Hollinsworth P, Brimm JE, et al. Complications of the flow-directed pulmonary artery catheter: a prospective analysis of 219 patients. Crit Care Med. 1981;9:315.
15. Barnett MG, Swartz MT, Peterson GJ, et al. Vascular complications from intraaortic balloons; risk analysis. J Vasc Surg. 1994;19:81–87.
16. Pace PD, Tilney NL, Lesch M, et al. Peripheral arterial complications of intra-aortic balloon counterpulsation. Surgery. 1977;82:685.
17. Vail CM, Ravin CE. Cardiovascular monitoring devices. In: Goodman LR, Putman CE, eds. Critical Care Imaging. 3rd ed. Philadelphia: WB Saunders; 1992:73.
18. Mayo Clinic. Ventricular assist devices. Available at: http://www. mayoclinic.org/heart-transplant/vad.html. Accessed March 7, 2006.
19. Knisely BL, Collins J, Jahania SA, et al. Imaging of ventricular assist devices and their complications. Am J Roentgenol. 1997;169:385–391.
20. Wechsler RJ, Steiner RM, Kinori I. Monitoring the monitors: the radiology of thoracic catheters, wires, and tubes. Semin Roentgenol. 1988;23:61–84.
21. Ehrlich I. Cardiac pacemakers. In: Teplick G, Haskin ME, eds. Surgical Radiology. Philadelphia: WB Saunders; 1981.
22. Steiner RM, Tegtmeyer CJ. The radiology of cardiac pacemakers. In: Morse D, Steiner RM, Parsonnet V, eds. A Guide to Cardiac Pacemakers. Philadelphia: Davis; 1983.
23. Bayliss CE, Beanlands DS, Baird RJ. The pacemaker twiddler's syndrome: a new complication of implantable transvenous pacemakers. Can Med Assoc J. 1968;99:371–373.
24. de Buitleir M, Canver CC. Twiddler's syndrome complicating a transvenous defibrillator lead system. Chest. 1996;109:1391–1394.
25. Takasugi JE, Godwin JD, Bardy GH. The implantable pacemaker-cardioverter-defibrillator: radiographic aspects. RadioGraphics. 1994;14: 1275–1290.
26. Goodman LR, Conrardy PA, Laing F, et al. Radiographic evaluation of endotracheal tube position. Am J Roentgenol. 1976;127:433.
27. Stauffer JL, Olson DE, Petty TL. Complications and consequences of endotracheal intubation and tracheotomy: a prospective study of 150 critically ill adult patients. Am J Med. 1981;70:65.
28. Goodman LR. Pulmonary support and monitoring apparatus. In: Goodman LR, Putman CE, eds. Critical Care Imaging. 3rd ed. Philadelphia: WB Saunders; 1992:45.
29. Petersen GW, Baier H. Incidence of pulmonary barotrauma in a medical ICU. Crit Care Med. 1983;11:67.
30. Tocino I. Chest imaging in the intensive care unit. Eur J Radiol. 1996;23:46–57.
31. Fraser RG, Pare JAP. Diagnosis of Diseases of the Chest. 2nd ed. Philadelphia: WB Saunders; 1977.
32. Muthuswamy PP, Patel K, Rajendran R. "Isocal pneumonia" with respiratory failure. Chest. 1982;81:390.
33. Torrington KG, Bowman MA. Fatal hydrothorax and empyema complicating a malpositioned nasogastric tube. Chest. 1981;79:240–242.
34. Vaughan ED. Hazards associated with narrow bore naso-gastric tube feeding. Br J Oral Surg. 1981;19:151–154.
35. Richard B, Colletti RB, Christie DL, et al. Indications for pediatric esophageal pH monitoring: a medical position statement of the North American Society for Pediatric Gastroenterology and Nutrition. J Pediatr Gastroenterol Nutr. 1995;21:253–262.