Editors: Collins, Jannette; Stern, Eric J.
Title: Chest Radiology: The Essentials, 2nd Edition
> Table of Contents > Chapter 16 - Congenital Lung Disease
Chapter 16
Congenital Lung Disease
The most common major anomalies of pulmonary development (Table 16-1) span a continuum of maldevelopment involving the pulmonary parenchyma, the pulmonary vessels, or a combination of both (1). At one end of the spectrum, congenital lobar emphysema represents abnormal lung supplied by normal vessels, and at the other end, pulmonary arteriovenous malformation (AVM) consists of abnormal vessels within normal lung parenchyma. Some patients with congenital lung anomalies have mixed features, making exact categorization of the anomaly difficult.
Congenital Lobar Emphysema
Congenital lobar emphysema (CLE) is a disorder affecting neonates and young infants and is usually associated with acute or subacute respiratory distress. It may occasionally present as an incidental finding in adults. Various bronchial and alveolar abnormalities can cause this disorder, and in some cases the cause is unknown. The most commonly detected abnormality is absence or hypoplasia of cartilage rings of major and branch bronchi, with resultant bronchial collapse during exhalation. This results in inhalational air entry but collapse of the narrow bronchial lumen during exhalation. The bronchial obstruction leads to progressive hyperinflation and air trapping (Fig. 16-1), usually involving only one pulmonary lobe. The left upper lobe is most commonly involved, followed by the right middle and right upper lobes. CLE has two forms: hypoalveolar (fewer than expected number of alveoli) and polyalveolar (greater than expected number of alveoli). The pulmonary vasculature, although frequently attenuated, is usually normal in structure and distribution. Common chest radiographic findings include a hyperlucent lobe, compressive atelectasis of adjacent parenchyma, and contralateral mediastinal shift (1). In some cases, a subtle hyperlucent lobe may be all that is seen. Computed tomography (CT) best characterizes this abnormality and typically shows a hyperlucent, hyperexpanded lobe;
P.265

attenuated but intact pattern of vascularity; compression of the adjacent lung; and contralateral mediastinal shift.
TABLE 16-1 MAJOR ANOMALIES OF PULMONARY DEVELOPMENT
Congenital lobar emphysema
Bronchogenic cyst
Congenital cystic adenomatoid malformation
Bronchopulmonary sequestration
Pulmonary venolobar syndrome (also called hypogenetic lung syndrome or scimitar syndrome)
Pulmonary arteriovenous malformation
Bronchial atresia
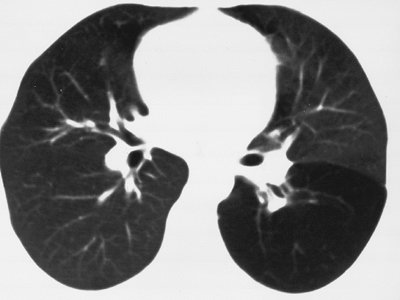
FIGURE 16-1. Congenital lobar emphysema. CT of a 30-year-old asymptomatic woman shows abnormal lucency and diminutive vasculature in the superior segment of the left lower lobe. There was no evidence of endobronchial lesion on CT or bronchoscopy, and the appearance of the left lower lobe was unchanged for 3 years on follow-up CT scans.
Bronchogenic Cyst
Bronchogenic cysts result from abnormal growth of the lung bud and can be either mediastinal or intrapulmonary. Both types are lined with ciliated columnar epithelium and contain serous or mucous material. No clear-cut predilection for an intrapulmonary or a mediastinal location has been demonstrated. An intrapulmonary bronchogenic cyst often communicates with the bronchial tree, which can result in air–fluid levels and recurrent infections that may damage the cyst wall. Chest radiographs show a nonspecific oval or round, well-circumscribed mass, often as an incidental finding. The most common mediastinal location is subcarinal (Figs. 6-29, 6-30, 6-31). CT scans show the mass to have a thin or nearly imperceptible wall and to contain fluid, often of water attenuation. Occasionally, the fluid has a higher attenuation than water because of the presence of proteinaceous material or calcium (see also Chapter 6). The contents of the cyst do not enhance after administration of intravenous contrast material.
Congenital Cystic Adenomatoid Malformation
Congenital cystic adenomatoid malformation (CCAM) is a hamartomatous abnormality of the lung consisting of a multicystic mass of pulmonary tissue in which there is proliferation of bronchial structures at the expense of alveolar development. Three types have been described. Type 1, the most common type, consists of single or multiple large cysts (up to 10 cm in diameter). Type 2 consists of multiple small cysts (1 to 2 cm in diameter), and type 3 (solid form) is a large, noncystic lesion. The prognosis worsens from type 1 to type 3, in part because of associated anomalies that occur with greater frequency with types 2 and 3.
The radiographic appearance varies, depending on the type of lesion. The most common presentation is that of a mass of numerous air-containing cysts that expand the ipsilateral hemithorax and shift the mediastinum to the contralateral side. Occasionally, one cyst preferentially expands, creating a single large lucent area that is similar in appearance to congenital lobar emphysema. Type 3 lesions present as large homogeneous masses, without cystic spaces. Although most cases of CCAM present in the first month of life, the diagnosis is occasionally delayed until adulthood (2). Adult patients commonly present with persistent or recurrent pneumonia. Chest CT in adults with CCAM shows cystic lesions of variable size, most commonly in a lower lobe, which can mimic cystic bronchiectasis, intralobar pulmonary sequestration, intrapulmonary bronchogenic cyst, or prior infection with pneumatocele formation (3).
Bronchopulmonary Sequestration
Bronchopulmonary sequestration consists of nonfunctioning lung tissue, usually cystic and often masslike, that has an anomalous systemic blood supply, usually from the aorta, and no normal communication with the tracheobronchial tree. This disorder is classified into two types: intralobar (the more common type) and extralobar (4). Both types occur most commonly in the posterior basal segment of a lower lobe, usually on the left. Intralobar sequestration is contiguous with normal lung parenchyma, has no separate pleural investment, receives arterial supply most commonly from the aorta, has venous drainage most commonly into a pulmonary vein, and is only rarely associated with other anomalies (Figs. 16-2 and 16-3). Extralobar sequestration is related to a hemidiaphragm (usually the left), and it is often situated between the inferior surface of the lower lobe and the diaphragm, or below the diaphragm. It has a pleural investment separate from the rest of the lung; receives arterial supply from the aorta but usually has venous drainage into the systemic venous system (e.g., inferior vena cava, azygos vein, or portal vein); and is often associated with other congenital anomalies (most commonly eventration or paralysis of the ipsilateral diaphragm and left diaphragmatic hernia) (Fig. 16-4). The classic radiographic appearance of pulmonary sequestration is recurrent or persistent abnormal opacity in a lower lobe that never completely clears. The diagnosis can be confirmed by showing the systemic arterial supply, either with magnetic resonance imaging or CT angiography (5). In adults, this disorder is often discovered incidentally.
FIGURE 16-2. Intralobar sequestration. A: CT of a 37-year-old woman with chest pain shows a prominent tubular structure in the left lower lobe (arrow). The surrounding lung, also part of the sequestration, is hyperlucent. B: CT at a more inferior level shows the tubular structure leading to a lobulated mass (arrow) in the left lower lobe. C: CT with mediastinal windowing shows the tubular structure be a vessel (arrow). D: CT of the upper abdomen shows a prominent vessel (arrow) arising from the abdominal aorta and heading toward the left lower lobe. E: Coronal reformatted CT confirms that a vessel arises from the abdominal aorta (arrow) and heads superiorly toward the left lower lobe. F: Paddlewheel reformatted CT shows drainage from the left lower lobe mass to the left inferior pulmonary vein (arrow).
P.266

FIGURE 16-3. Intralobar sequestration. A: Posteroanterior (PA) chest radiograph of a 20-year-old man with recurrent left lower lobe pneumonia shows abnormal opacification of the left lower lobe, with obliteration of the left hemidiaphragm shadow, and an air–fluid level (arrow). B: Lateral view shows left lower lobe opacification involving the posterior segment (arrows). C: CT shows a slightly lobulated cystic mass in the posterior segment of the left lower lobe (arrows). D: Coronal magnetic resonance imaging (MRI) shows two arteries arising from the descending aorta (arrowheads), feeding the sequestration. E: Axial MRI shows two high-signal draining veins (arrowheads) within the sequestration (curved arrows), draining into the left inferior pulmonary vein (straight arrows).
P.267

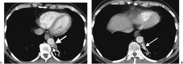
FIGURE 16-4. Extralobar sequestration. A: CT of a 56-year-old man with persistent abnormal opacity in the left lower lobe on chest radiography shows a vascular structure arising from the descending aorta (solid arrow) and directed toward a mass in the left lower lobe. The hemiazygos vein is prominent (dashed arrow). B: CT at a more inferior level shows a large vein arising from the left lower lobe mass and draining into the hemiazygos vein (arrow). C: Coronal reformatted CT shows a prominent hemiazygos vein (arrow). D: CT at the level of the left atrium shows the hemiazygos vein (solid arrow) crossing the midline posterior to the descending aorta to join the azygos vein (dashed arrow). Surgical resection of the left lower lobe sequestration confirmed the arterial supply and venous drainage.
P.268

Pulmonary Venolobar Syndrome
Also referred to as the scimitar syndrome or hypogenetic lung syndrome, pulmonary venolobar syndrome is a form of partial anomalous pulmonary venous return that is accompanied by ipsilateral lung hypoplasia. The anomalous venous return is commonly to the inferior vena cava (Fig. 16-5). The hypoplastic lung (which is almost always right sided) is supplied partly or completely by systemic arteries. The ipsilateral pulmonary artery is diminutive. Associated cardiovascular anomalies are frequent, the most common being atrial septal defect (6). Other associated anomalies include pulmonary sequestration, absence of the inferior vena cava, and accessory diaphragm. Less commonly, the syndrome may involve tracheal trifurcation, eventration and partial absence of the diaphragm, phrenic cyst, horseshoe lung, anomalous superior vena cava, and absence of the left pericardium (7). Bronchial anomalies are common, particularly isomerism (identical right and left branching patterns). The anomalous vein is usually visible on frontal chest radiographs as a broad, gently curved shadow descending to the diaphragm just to the right of the heart (Figs. 16-6 and 16-7). The shadow is shaped like a Turkish sword (a scimitar); thus, the designation scimitar syndrome. Other radiographic findings include a small ipsilateral hemithorax with diminished pulmonary vascularity, shift of the mediastinum toward the involved side, and, often, indistinctness of the cardiomediastinal border on the involved side. The lateral radiograph usually
P.269

shows a retrosternal band of opacification, which is secondary to the shortening of the anteroposterior diameter of the involved lung, and contact of the anterior involved lung with a rotated and shifted mediastinum (8). Anomalous pulmonary venous return can also be an isolated finding, unassociated with other anomalies (Fig. 16-8).
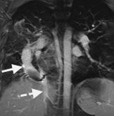
FIGURE 16-5. Pulmonary venolobar syndrome. MRI of a 24-year-old man shows a large venous structure (solid arrow) draining into the abdominal inferior vena cava (dashed arrow).
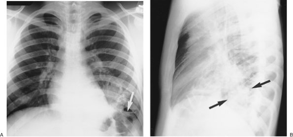
FIGURE 16-6. Pulmonary venolobar syndrome. A: PA chest radiograph of an 11-year-old girl shows a curvilinear band of opacification (arrows) adjacent to the right heart border, representing an anomalous pulmonary vein draining into the inferior vena cava. The vein is shaped like a Turkish sword, giving rise to the name "scimitar syndrome," another term used to describe this entity. Hypoplasia of the right lung is not clearly seen on this view. B: Lateral view shows a retrosternal band of opacification (arrows), created by shortening of the anteroposterior diameter of the right lung, and contact of the anterior right lung with a rotated and shifted mediastinum.
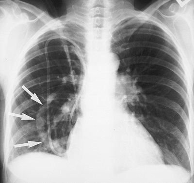
FIGURE 16-7. Pulmonary venolobar syndrome. PA chest radiograph of a 56-year-old woman shows the anomalous draining vein (scimitar; arrows), diminutive right pulmonary artery, and relatively small right lung.
Pulmonary Arteriovenous Malformation
A pulmonary AVM or congenital arteriovenous fistula is an abnormal vascular communication between a pulmonary artery and a pulmonary vein. The etiology is thought to be defective development of the terminal capillary loops, resulting in the formation of thin-walled, dilated vascular spaces, usually supplied by one distended artery and drained by one distended vein. Pulmonary AVMs are multiple in 33% to 50% of patients and are bilateral in 8% to 20% (1). Approximately 60% of pulmonary AVMs occur in patients with Rendu-Osler-Weber disease (also known as hereditary hemorrhagic telangiectasia; see also Chapter 7). Chest radiographs and CT scans show round or oval, well-defined nodules, which can be lobulated, ranging in size from less than 1 cm to several centimeters in diameter, with prominent feeding and draining vessels (see Figs. 7-32 and 7-33). Although typically incidental findings in adults, AVMs can cause physiologic right-to-left shunting if large, which can result in paradoxical septic emboli.
Bronchial Atresia
Bronchial atresia is an uncommon focal obliteration of the proximal portion of a segmental bronchus. It occurs most commonly in the left upper lobe, followed by the left lower lobe and the right middle lobe (9). It is thought to be related to a vascular insult early in development. Mucoid impaction in the airway distal to the obliterated portion is usually seen radiologically as an ovoid, round, or branching tubular structure. The distal lung, aerated by collateral air drift, is typically hyperlucent and hyperinflated and has decreased vascular markings. Bronchial atresia is often discovered incidentally. Bronchoscopy
P.270

is usually required to exclude an endobronchial neoplasm.
FIGURE 16-8. Anomalous pulmonary venous return. A: CT shows a large tubular structure in the right lower lobe (arrow). B: CT with mediastinal windowing shows enhancement of the structure (arrow), confirming its vascular nature. C: CT at a level inferior to (B) shows the vascular structure (solid arrow) draining into the inferior vena cava (dashed arrow).
References
1. Panicek DM, Heitzman ER, Randall PA, et al. The continuum of pulmonary development anomalies. Radiographics. 1987;7:747–772.
2. Avitabile AM, Greco MA, Hulnick DH, et al. Congenital cystic adenomatoid malformation of the lung in adults. Am J Surg Pathol. 1984;8:193–202.
3. Patz EF Jr, Müller NL, Swensen SJ, et al. Congenital cystic adenomatoid malformation in adults: CT findings. J Comput Assist Tomogr. 1995;19:361–364.
4. Savic B, Birtel FJ, Tholen W, et al. Lung sequestration: report of seven cases and review of 540 published cases. Thorax. 1979;34:96–101.
5. Mata JM, Caceres J, Lucaya J, et al. CT of congenital malformations of the lung. Radiographics. 1990;10:651–674.
6. Kiely B, Filler J, Stone S, et al. Syndrome of anomalous venous drainage of the right lung to the inferior vena cava. A review of 67 reported cases and three new cases in children. Am J Cardiol. 1967;20:102–115.
7. Woodring JH, Howard TA, Kanga JF. Congenital pulmonary venolobar syndrome revisited. Radiographics. 1994;14:349–369.
8. Ang JGP, Proto V. CT demonstration of congenital pulmonary venolobar syndrome. J Comput Assist Tomogr. 1984;8:753–757.
9. Kinsella D, Sissons G, Williams MP. The radiological imaging of bronchial atresia. Br J Radiol. 1992;65:681–685.