Editors: Collins, Jannette; Stern, Eric J.
Title: Chest Radiology: The Essentials, 2nd Edition
> Table of Contents > Chapter 12 - Peripheral Lung Disease
Chapter 12
Peripheral Lung Disease
The diseases in this chapter are not ordinarily discussed together. Alveolar sarcoidosis, usual interstitial pneumonitis, and contusions are, in fact, discussed in chapters 10, 3, and 8, respectively. Cryptogenic organizing pneumonitis (COP) (previously referred to as bronchiolitis obliterans organizing pneumonia) and eosinophilic pneumonia (EP) could be discussed in a chapter on diffuse interstitial lung disease. Pulmonary infarcts are discussed with pulmonary emboli in Chapter 17. However, these disorders have been categorized together here because of their propensity for producing a predominantly peripheral distribution of disease on chest radiography and computed tomography (CT). A simple mnemonic, "AEIOU," can be used to remember those disorders that have a peripheral distribution of disease (Table 12-1 and Fig. 12-1). It needs to be mentioned, however, that these disorders frequently do not manifest as recognizable peripheral opacities on chest radiography or CT, so a lack of peripheral opacities does not exclude these disorders. If there is any hint of a peripheral distribution of disease on the chest radiograph, CT can be very helpful in better defining the morphology and distribution of disease (Fig. 12-2).
Alveolar Sarcoidosis
Sarcoidosis is a systemic disease of unknown etiology that is characterized by widespread development of noncaseating granulomas. More complete discussions of this disorder are found in chapters 3, 6, and 10. This section will be limited to a discussion of those patients with sarcoidosis who have so-called "alveolar" opacities on chest radiography or CT.
Although the term alveolar sarcoidosis is used, the process is predominantly interstitial, with compression and obliteration of alveoli creating the appearance of alveolar filling on radiologic imaging. Histologically, these lesions are seen to represent confluent interstitial granulomas. The radiographic appearance of airspace (alveolar) opacities develops in 10% to 20% of patients with sarcoidosis. The radiologic appearance is that of bilateral, multifocal, poorly defined opacities that range in size from 1 to 10 cm and show a predilection for the peripheral middle lung, sparing the costophrenic angles (1,2,3) (Fig. 12-3). The peripheral distribution is better seen and on occasion appreciated only on CT. Air bronchograms are common. Associated CT findings of reticulonodular opacities, especially in a lymphatic distribution, and mediastinal and hilar lymphadenopathy provide clues to the correct diagnosis. Most patients with alveolar sarcoidosis have accompanying lymphadenopathy (4) (Fig. 12-4). When only peripheral opacities are seen, the appearance can be indistinguishable from those of COP or EP. Although all three disorders can present with blood eosinophilia, the degree of eosinophilia is most pronounced with EP. The peripheral opacities of alveolar sarcoidosis can clear rapidly with or without steroid treatment (1).
Eosinophilic Pneumonia
The term pulmonary eosinophilia, synonymous with pulmonary infiltration with eosinophilia, describes a group of diseases in which blood and/or tissue eosinophilia affects major airways and lung parenchyma (5). Blood eosinophilia, however, is not necessary to make a diagnosis of eosinophilic lung disease. The number of diseases included under the umbrella term pulmonary eosinophilia are numerous. A simple mnemonic, "NAACP," and the term idiopathic can be used to remember the major classifications of disorders that constitute pulmonary eosinophilia (Table 12-2). This section will focus on parasitic infections and idiopathic pulmonary eosinophilia.
TABLE 12-1 DISORDERS FREQUENTLY MANIFESTING AS PERIPHERAL OPACITIES ON CHEST RADIOGRAPHY OR COMPUTED TOMOGRAPHY
"AEIOU"
Alveolar sarcoidosis
Eosinophilic pneumonia
Infarcts
COP (cryptogenic organizing pneumonia)
UIP ([usual interstitial pneumonitis] and DIP [desquamative interstitial pneumonitis])
ContUsions
P.207

FIGURE 12-1. Usual interstitial pneumonitis. A: Posteroanterior (PA) chest radiograph of a 72-year-old woman with scleroderma shows low lung volumes and bilateral reticular interstitial lung disease. B: CT shows that the reticular opacities have a subpleural, peripheral distribution (arrows).
FIGURE 12-2. Eosinophilic pneumonia. A: PA chest radiograph of a 21-year-old woman shows bilateral airspace opacities that extend to the lung periphery. B: CT better shows the peripheral distribution of disease. Note prominent air bronchograms.
FIGURE 12-3. Alveolar sarcoidosis. A: PA chest radiograph of a 28-year-old asymptomatic man shows nonsegmental peripheral airspace disease and bilateral hilar and mediastinal lymphadenopathy. B: CT shows bilateral peripheral airspace disease. Note air bronchograms (arrows), a common feature of alveolar sarcoidosis.
P.208

FIGURE 12-4. Alveolar sarcoidosis. A: PA chest radiograph of a 29-year-old man shows ill-defined opacities in the upper lungs (circles). B: CT image shows a peripheral distribution of airspace disease. Note nodular beading of a left lower lobe bronchovascular bundle (arrow), a characteristic feature of sarcoidosis. C: CT with mediastinal windowing shows bilateral hilar (arrows) and subcarinal (asterisk) lymphadenopathy. Most patients with alveolar sarcoidosis have accompanying lymphadenopathy.
TABLE 12-2 CLASSIFICATION OF EOSINOPHILIC LUNG DISEASE
"NAACP" and Idiopathic
Neoplasms
   Bronchogenic carcinoma
   Metastases
   Lymphoma
Asthma
Allergic disorders
   Allergic bronchopulmonary aspergillosis
   Drug-induced disease
   Extrinsic allergic alveolitis (hypersensitivity pneumonitis)
Collagen vascular and granulomatous disorders
   Rheumatoid lung disease
   Churg-Strauss syndrome
   Wegener granulomatosis
   Sarcoidosis
Parasitic disorders and other infections
   Tropical pulmonary eosinophilia
   Helminth infections (worm infestation)
   Fungal infections
   Other bacterial, viral, and protozoal infections
Idiopathic
   Acute eosinophilic pneumonia (Löffler syndrome)
   Chronic eosinophilic pneumonia
Tropical pulmonary eosinophilia is a systemic disease caused by hypersensitivity to microfilariae, which are the early larval forms of various filarial nematodes, most notably Brugia malayi and Wuchereria bancrofti (6). The disease is endemic in the Indian subcontinent, Southeast Asia, the South Pacific, North Africa, and South America. In nonendemic areas, the disease is seen in immigrants. The predominant respiratory symptom is chronic cough, which is often worse at night. Patients have marked blood eosinophilia, elevated immunoglobulin E (IgE) levels, and a high titer of antifilarial antibody. The chest radiograph is abnormal in the majority of patients, with the most common abnormality being fine linear opacities that are distributed diffusely and symmetrically. Small nodules, ranging in size from 1 to 5 mm, are seen in about half of cases. Hilar lymphadenopathy is uncommon and, when present, is mild (7). An important diagnostic criterion is rapid response to treatment with diethylcarbamazine. Chronic interstitial fibrosis can develop in some patients (8).
The larval stages of a number of worms other than filarial nematodes can pass through the lung and cause EP. These include Ascaris lumbricoides, Strongyloides stercoralis, Toxocara canis, Trichuris trichiura, and Schistosoma sp. The radiologic pattern is usually identical to that of acute EP.
Cryptogenic EP can be acute or chronic, depending on whether the condition lasts more or less than 1 month (9). The 1-month criterion is arbitrary, and the distinction between acute and chronic EP is not always clear. Acute EP, also referred to as Löffler syndrome, is characterized by blood eosinophilia;
P.209

mild or absent symptoms and signs (cough, fever, dyspnea); one or more nonsegmental mixed interstitial and alveolar pulmonary opacities that are transitory or migratory; and spontaneous clearing of opacities (within 1 month). The pulmonary opacities have a tendency to be predominantly peripheral in distribution. One way of remembering this peripheral distribution is to think of EP as being the opposite of PE (pulmonary edema). The classic distribution of pulmonary edema is a central batwing or butterfly pattern of alveolar lung disease, which is just the opposite of the peripheral alveolar opacities seen with EP. Pleural effusions and lymphadenopathy are not features of acute EP.
FIGURE 12-5. Chronic eosinophilic pneumonia. A: PA chest radiograph of a 62-year-old woman shows bilateral interstitial and airspace opacities, which are worse in the peripheral lungs, and elevation of the right hemidiaphragm related to right upper lobe volume loss. Based on the findings on this single exam, with no prior chest radiograph for comparison, both acute and chronic processes must be considered. B: CT of the right lung better shows the peripheral distribution of airspace disease. Note air bronchograms (arrows), which are a common feature of EP. No honeycombing is seen. C: PA chest radiograph obtained 2 months later, after treatment with steroids, shows complete clearing of bilateral peripheral lung disease.
Chronic EP is most prevalent in the third to seventh decades of life, with women outnumbering men by 2 to 1 (10). Symptoms of dyspnea, cough, wheeze, malaise, weight loss, fever, and night sweats can be mild or severe. Blood eosinophilia occurs in the majority of patients. Serum IgE is normal or only mildly elevated, which is helpful in distinguishing the condition from allergic bronchopulmonary aspergillosis and tropical and parasitic pulmonary eosinophilias, in which serum IgE levels are markedly elevated. The classic findings on chest radiograph and CT are nonspecific peripheral, nonsegmental, homogeneous alveolar opacities, often with air bronchograms (10,11) (Figs. 12-5 and 12-6). In a minority of patients, the opacities are central in distribution or both central and peripheral (Fig. 12-7). Chronic EP is sensitive to steroid therapy; rapid clearing of radiologic abnormalities is usually seen within a few days, with complete clearing by 1 month. Relapse is common, and the majority of patients need long-term low-dose steroids, distinguishing this disease from acute EP (12). The radiologic manifestations can be migratory, occurring in new locations with relapse.
Pulmonary Infarction
Only 15% or fewer of thromboemboli cause pulmonary infarction (13). It is unknown why some emboli cause infarction
P.210

P.211

and others do not, but it is likely a result of compromise of both the pulmonary and bronchial arterial circulation. This is most likely to occur with peripheral emboli and in patients with left heart failure or circulatory shock (14). It is known that bronchial circulation alone can sustain the lung parenchyma without infarction occurring (15).
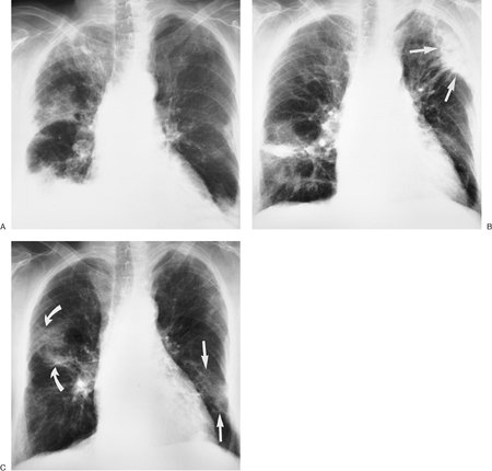
FIGURE 12-6. Chronic eosinophilic pneumonia, recurrent. A: PA chest radiograph of an 85-year-old woman shows bilateral, ill-defined parenchymal opacities in a predominantly peripheral distribution. The right lung is more involved than the left. B: PA chest radiograph taken 5 months later shows clearing of much of the right lung and worsening disease in the periphery of the left lung (arrows). C: PA chest radiograph obtained 1 month after (B) shows partial clearing of the left upper lung, worsening disease in the left mid peripheral lung (straight arrows), and worsening disease in the right middle lung (curved arrows). Migratory lung disease is a characteristic feature of EP.
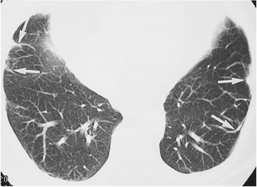
FIGURE 12-7. Chronic eosinophilic pneumonia. A: PA chest radiograph of a 30-year-old woman with several months' history of productive cough, fever, fatigue, chills, and dyspnea on exertion, treated unsuccessfully with several courses of antibiotics, shows bilateral ill-defined opacities, predominantly in the mid lungs. B: CT shows peripheral and central airspace disease. C: CT coronal reformatted image clearly shows the subpleural, peripheral distribution of disease (arrows). The patient improved rapidly with steroid treatment.
No chest radiographic sign is specific for pulmonary embolism or infarction, and the sensitivity of chest radiography for these conditions is poor. Even with large pulmonary artery clot burden, the chest radiograph can be normal (16). The main role of the chest radiograph, therefore, is to exclude other diagnoses that might mimic pulmonary embolism clinically, such as pneumonia or pneumothorax.
Pulmonary infarction results in airspace opacities that are usually multifocal and predominantly in the lower lungs. They usually appear within 12 to 24 hours after the embolic event. The opacities are classically peripheral, with a triangular or rounded shape (thus the term "Hampton hump"), and they are always in contact with the pleural surfaces (Fig. 12-8). The apex or hump of the opacity is directed toward the lung hilum. Occasionally, lobar consolidation resembling pneumonia can occur. Air bronchograms are rarely present. It is important to
P.212

note that the opacities can be a result of a combination of atelectasis and pulmonary hemorrhage without infarction, in which case clearing occurs within a week. Infarction takes several months to resolve, often with residual scarring (Fig. 12-9). As infarcts resolve, they melt away "like an ice cube" (giving rise to the melting ice cube sign; see Fig. 2-16). The opacity clears from the periphery first, whereas in pneumonia the opacity clears homogeneously (both centrally and peripherally) at the same time. Cavitation can occur within infarcts but is rare without coexisting infection, either secondary infection of an infarct or a result of septic emboli or vasculitis. Pleural effusions related to pulmonary emboli are usually small, unilateral, and associated with pulmonary infarction.
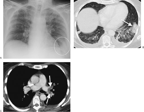
FIGURE 12-8. Pulmonary infarct. A: PA chest radiograph of a 52-year-old woman with acute pulmonary embolism shows focal airspace disease at the left costophrenic angle (circle). B: CT shows bilateral subpleural airspace opacities, which are largest in the left lower lobe (arrow), and bilateral pleural effusions. C: CT with mediastinal windowing confirms the presence of a central filling defect (arrows) within otherwise opacified lingular and left lower lobe pulmonary arteries, characteristic features of acute pulmonary emboli.
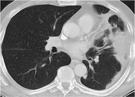
FIGURE 12-9. Pulmonary infarcts. CT of a 69-year-old man 10 weeks after a confirmed acute pulmonary embolic event shows residual subpleural scarring related to bilateral pulmonary infarcts (arrows).
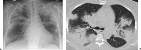
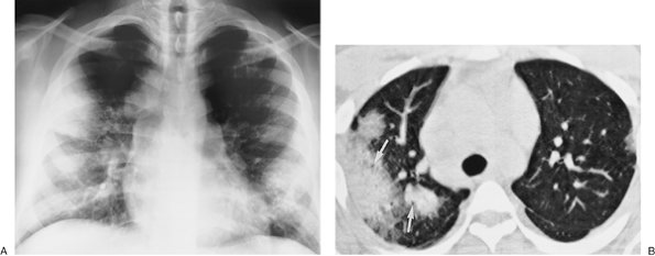
FIGURE 12-10. Cryptogenic organizing pneumonitis. A: PA chest radiograph of a 53-year-old man with rheumatoid arthritis shows bilateral peripheral airspace disease involving predominantly the upper and middle lungs. B: CT confirms the peripheral distribution of disease and shows prominent air bronchograms.
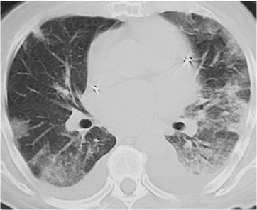
FIGURE 12-11. Cryptogenic organizing pneumonitis. CT shows bilateral dense airspace and ground-glass opacities in a peripheral distribution. The patient had COP related to amiodarone lung toxicity.
Cryptogenic Organizing Pneumonitis
COP, previously referred to as bronchiolitis obliterans organizing pneumonia, is a clinicopathologic entity of unknown cause characterized by nonspecific clinical symptoms of cough and dyspnea and by equally nonspecific chest radiographic findings of patchy, peripheral airspace opacities. COP should not be confused with bronchiolitis obliterans, also known as obliterative bronchiolitis or constrictive bronchiolitis, a separate entity that is discussed in Chapter 13. Although COP is idiopathic in etiology, several precipitating conditions leading to organizing
P.213

pneumonitis have been identified, including infections (most notably viral), connective tissue disorders (Fig. 12-10), drug toxicity (Fig. 12-11), inhalation of noxious fumes, and lung and bone marrow transplantation (Fig. 12-12). Patients with COP are generally 55 to 60 years of age, and half of them have a history of an influenza-like prodrome followed by an illness of about 3 months characterized by cough, exertional dyspnea, malaise, fever, and weight loss (17).
FIGURE 12-12. Cryptogenic organizing pneumonitis. A: PA chest radiograph of a 52-year-old man after bone marrow transplant for leukemia shows bilateral ill-defined parenchymal opacities. B: CT shows that the opacities are peripheral and nonsegmental. Note air bronchograms (arrows).
Radiographs and CT scans of the chest resemble those of many other types of pneumonia and show bilateral, patchy, nonsegmental, airspace opacities with a peripheral and basilar predominance (18). The opacities may contain air bronchograms. On occasion, the opacities are not peripheral in distribution but are central and centered along bronchovascular bundles. Although COP is usually a bilateral process, occasionally only one lung is involved or is much more involved than the other lung (Fig. 12-13). Areas of ground-glass attenuation are common and may be the only finding on CT.
FIGURE 12-13. Cryptogenic organizing pneumonia. CT of a 66-year-old man with rheumatoid arthritis shows peripheral airspace disease involving only the left lung.
P.214

References
1. Battesti JP, Saumon G, Valeyre D, et al. Pulmonary sarcoidosis with an alveolar radiographic pattern. Thorax. 1982;37:448–452.
2. Rabinowitz JG, Ulreich S, Soriano C. The usual unusual manifestations of sarcoidosis and the "hilar haze" - a new diagnostic aid. AJR Am J Roentgenol. 1974;120:821–831.
3. Shigematsu N, Emori K, Matsuba K, et al. Clinicopathologic characteristics of pulmonary acinar sarcoidosis. Chest. 1978;73:186–188.
4. Kirks DR, McCormick VD, Greenspan RH. Pulmonary sarcoidosis: roentgenologic analysis of 150 patients. AJR Am J Roentgenol. 1973;117: 777–786.
5. Fraser RG, Paré JAP, Paré PD. Diagnosis of Diseases of the Chest. 3rd ed, vol 2. Philadelphia: WB Saunders; 1989.
6. Otteson EA, Nutman TB. Tropical pulmonary eosinophilia. Ann Rev Med. 1992;43:417–424.
7. Webb JKG, Job CK, Gault EW. Tropical eosinophilia: demonstration of microfilariae in lung, liver, and lymph nodes. Lancet. 1960;1:835–842.
8. Udwadia FE. Tropical eosinophilia: a review. Respir Med. 1993;87:17–21.
9. Crofton JW, Livingstone JL, Oswald NC, et al. Pulmonary eosinophilia. Thorax. 1952;7:1–35.
10. Jederlinic PJ, Sicilian L, Gaensler EA. Chronic eosinophilic pneumonia: a report of 19 cases and a review of the literature. Medicine. 1988;67:154–162.
11. Mayo JR, Müller NL, Road J, et al. Chronic eosinophilic pneumonia: CT findings in six cases. AJR Am J Roentgenol. 1989;153:727–730.
12. Naughton M, Fahy J, Fitzgerald MX. Chronic eosinophilic pneumonia: a long-term follow-up of 12 patients. Chest. 1993;103:163–165.
13. Moser KM. Pulmonary embolism: state of the art. Am Rev Respir Dis. 1977;115:829–852.
14. Tsao MS, Schraufnagel D, Wang NS. Pathogenesis of pulmonary infarction. Am J Med. 1982;72:599–606.
15. Dalen JE, Haffajee CI, Alpert JS, et al. Pulmonary embolism, pulmonary hemorrhage and pulmonary infarction. N Engl J Med. 1977;296:1431–1435.
16. Wenger NK, Stein PD, Willis PW. Massive acute pulmonary embolism: the deceivingly nonspecific manifestations. JAMA. 1972;220:843–844.
17. King TE, Mortenson RL. Cryptogenic organizing pneumonitis: the North American experience. Chest. 1992;102(suppl):8S–13S.
18. Izumi T, Kitaichi M, Nishimura K, et al. Bronchiolitis obliterans organizing pneumonia: clinical features and differential diagnosis. Chest. 1992;102:715–719.